O Diabetes Mellitus leva uma disfunção no armazenamento do açúcar no corpo.Altas taxas de glicose leva lesões nos vasos sanguíneos da retina e nas camadas de fibras nervosas do fundo do olho.As lesões dos vasos sanguíneos da retina são chamados de retinopatia diabética.
A retina é a camada do fUndo do olho em que possuem células que recebem a luz ,processam as imagens e e conduzem as informações para o cérebro. Com o açúcar elevado por longo período de tempo faz com que aumente a permeabilidade dos vasos sanguíneos fazendo com que haja o extravazamento de sangue e liquído, formando o edema.Assim o paciente portador de retinopatia diabética inicia com embaçamento visual, podendo haver perdas parciais ou até totais da visão.
Retinopatia diabética é a lesão da retina em decorrência das complicações do Diabetes Mellitus.
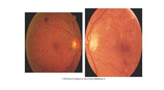
O Edema Macular Diabético que é a presença de sangue e líquido na mácula(principal área da retina que é responsável pela percepção de cores e detalhes), é a principal causa de cegueira em pessoas com idades produtivas em países desenvolvidos, isso porque o diabetes quando descontrolado pode levar a complicações em diversos orgãos do corpo inclusive nos olho. 90% dos diabéticos tipo I e 60% dos diabéticos tipo II devem desenvolver retinopatia diabética ao longo da vida, levando a alterações na visão e se não tratadas podendo levar a cegueira.

TIPOS DE RETINOPATIA DIABÉTICA
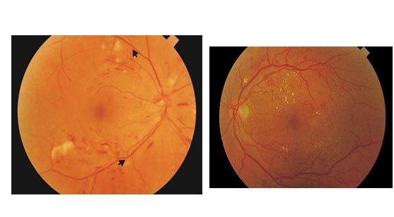
- Retinopatia Diabética Não Proliferativa Leve: é o inicio da retinopatia diabética onde há poucas áreas de dilatação vascular dos vasos sanguíneos da retina.
Retinopatia Diabética Não Proliferativa Moderada: áreas mais extensas de dilatação vascular com extravasamento de sangue e bloqueio vascular.

- Retinopatia Diabética Não Proliferativa Severa: Há extensas áreas de bloqueio vascular com extravazamento de sangue e líquido em maior quantidade, com maior risco de complicações.

- Retinopatia Diabética Proliferativa: é a fase mais avançada e perigosa da retinopatia diabética, onde há formações de novos vasos na retina e no globo ocular para tentar combater a falta de oxigêneo gerada pelas hemorragias.O grande problema e que esses novos vasos são muito frágeis e se rompem e aumentam ainda mais a vazamento de sangue e líquido causando danos graves a visão.
Os sintomas da retinopatia diabética podem levar anos para aparecer , e o paciente possui a doença e não sabe, assim a melhor forma de combate a doença e a prevenção. O diagnóstico precoce da doença é essencial para o sucesso do tratamento e preservação da visão.Em etapas mais avançadas da doença o paciente pode perceber manchas na visão, o que caracteriza a presença de sangramento.deste modo se houver a percepção de manchas na visão um oftalmologista especialista em retina deve ser procurado com urgência para diagnostico e tratamento da doença.Existem outros sintomas como embaçamento visual, visão dupla, dificuldade para ler , perda de visão periférica , sensação de pressão nos olhos, perda repentina da visão, moscas ou flashes flutuantes., podendochegarr até cegueia.
DIAGNÓSTICO DA RETINOPATIA DIABÉTICA
O exame mais comum para detectar a doença é o fundo de olho que deve ser feito por um especialista em retina em que a pupila é dilatada onde há vizualização de toda retina.
Outros exames mais específicos são: angiografia fluoresceínica(fotografias retinianas com uso de contraste), e OCT( tomografia do fundo do olho)
O oftalmologista especialista em retina é o profissional mais apto para realização e interpretação dos exames.
TRATAMENTO DA RETINOPATIA DIABÉTICA
O tratamento é baseado no estagio da doença que o paciente se encontra
Nas fases Não proliferativas geralmente o acompanhamento periódico com retinólogo é o suficiente , podendo haver intervenções, atraves da fotocoagulação a laser.
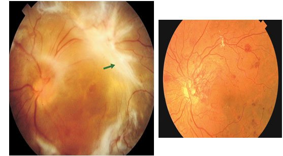
Em casos mais avançados como na retinopatia diabética proliferativa o tratamento e através de fotocoagulação a laser. Já nos pacientes que desenvolvem que o edema macular diabético, que consiste na presença de liquido e sangue na mácuá(área central da retina), deve se realizar a fotocoagulacão a laser e ou injeção intra ocular de antiangiogênico. Deve –se ficar bem atento as essa fase da doença pois é a principal causa de perda da visão na população em idade produtiva. Vitrectomia é uma ctipo de cirurgia realizada em casos muito avançados em que a fotocoagulação a laser e injeção intra vítrea não resolvem mais.
FOTOCOAGULAÇÃO A LASER 1

INJEÇÃO INTRA VÍTREA 1

VITRECTOMIA
